医院动态
【专科品牌】一支烟,可能点燃一种罕见病
今天是国际罕见病日。
很多人以为罕见病“离自己很远”,但有些罕见病,其实就潜伏在我们身边——尤其是在长期吸烟者当中。
今天,我们分享一个真实病例,带大家认识一种与吸烟密切相关、却常被忽视的罕见肺部疾病。
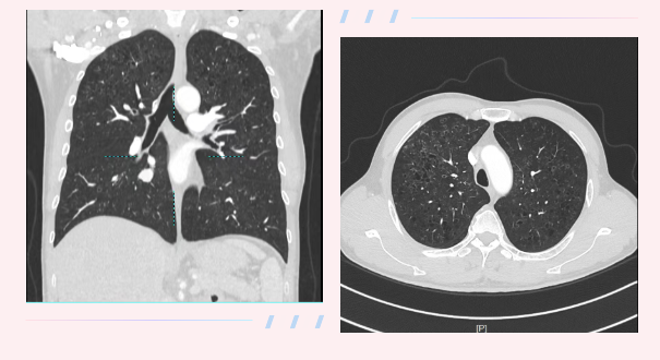
1.病例回顾:30年烟龄,肺部出现多发“囊泡”
林先生,45岁,有30年吸烟史,每天一包烟。
近几个月,他开始反复咳嗽,活动后气促明显加重,爬两层楼就胸闷气短。起初他以为是“老烟枪的慢性支气管炎”,但症状越来越重,于是来到福州肺科医院呼吸科就诊。
肺部CT结果让人警惕——双肺多发囊性病变,形态不规则,分布不均,呈“蜂窝样”改变。这种影像表现,并不典型属于普通慢阻肺。

为了明确诊断,我们为林先生进行了经支气管镜冷冻肺活检。这是一种近年来广泛应用的先进技术,能够在相对安全的前提下获取较大的肺组织标本,提高诊断准确率。

病理结果最终证实——肺朗格汉斯细胞组织细胞增生症(PLCH).
2.什么是肺朗格汉斯细胞组织细胞增生症(PLCH)?
肺朗格汉斯细胞组织细胞增生症是一种罕见的组织细胞增生性疾病。
简单来说——本应参与免疫调节的“朗格汉斯细胞”在肺部异常增殖,形成结节,逐渐破坏肺组织,最终出现囊性变甚至肺结构毁损。
它有几个典型特点:超过90%的患者为吸烟者或既往吸烟者,多见于年轻或中年人,早期可无明显症状,典型CT表现为“结节+囊性病变”,多以上肺为主,确诊必须依赖肺组织病理检查。
值得注意的是——PLCH 是少数与吸烟高度相关的罕见病之一。
治疗关键:第一步不是吃药,而是戒烟
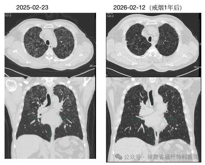
治疗关键只有一个对于PLCH患者,最重要的治疗是彻底戒烟。早期患者戒烟后病情可稳定甚至改善。如曾经在我院确诊PLCH的另一位患者刘先生,在彻底戒烟后复查肺部CT,病灶明显吸收(肺部CT对比如下图)。进展期可能需要激素或免疫治疗,极少数严重病例需考虑肺移植。

3.医生提醒:吸烟者出现这些情况要警惕
如果您或家人有长期吸烟史,同时出现:持续性咳嗽、活动后气促;反复自发性气胸;体检发现多发肺囊性病变;不明原因体重下降、乏力。不要简单归为“老烟民肺病”。
请尽早到正规医院呼吸科就诊,必要时完善进一步检查。
早期诊断 + 彻底戒烟 = 改善预后的关键。
4.罕见病,并不遥远
在 国际罕见病日 这一天,我们希望传递一个重要信息:
罕见病并不等于遥远。有些罕见病,与生活方式密切相关。
吸烟不仅会导致慢阻肺、肺癌,还可能诱发像 PLCH 这样的罕见疾病。
无论烟龄多久——戒烟,永远不晚。
福州肺科(胸科)医院间质肺规范化诊疗中心致力于呼吸系统疾病的规范诊治与研究,守护每一次自由呼吸。






